近日,海南天成口腔医院(海南口腔医院)儿童口腔医学中心接诊了一位特殊的“小患者”——5岁的佳佳(化名)。这位在加拿大出生长大的华裔男孩,因全口多颗牙齿蛀牙,专程从加拿大回国寻求治疗。最终,在我院接受了门诊全麻下口腔治疗,全口牙齿问题一次性处理好。此次跨越国界的就医案例,也折射出海南自贸港建设背景下,我院专科医疗服务水平的持续提升。
一.20颗乳牙蛀了11颗,家长心急如焚
佳佳一家长期定居加拿大,虽然在异国他乡生活多年,但在海南三亚也保留着自己的家。
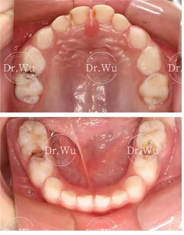
由于饮食习惯和口腔护理不到位,年仅5岁的佳佳,20颗乳牙中竟然有11颗出现了不同程度的龋坏,其中多颗蛀牙已经很深。

更令家长心疼的是,佳佳的左下后牙有一颗大牙出现了疼痛、牙龈鼓脓包的症状,孩子常常因为牙疼吃不下饭、睡不好觉。
家长曾带着佳佳咨询了加拿大的多家医疗机构,然而,要么是治疗预约排队时间太久,要么对给出的治疗方案不满意,家长始终没能下决心为孩子进行治疗,最终决定带孩子回中国看牙。
二.海口求医:一次性解决全口问题
4月15日,家人带着佳佳来到海南天成口腔医院(海南口腔医院)儿童口腔医学中心就诊。
接诊的儿童口腔医学中心主任吾尔肯为佳佳进行了全面细致的口腔检查,并结合X光片结果,为佳佳制定了治疗方案。
考虑到佳佳牙齿龋坏数量多、部分牙齿已经出现牙神经感染,且孩子年龄小、配合度差。如果采用常规治疗,孩子需要多次往返医院,治疗周期长、体验感差,还可能给孩子心理造成不良影响。吾尔肯主任与家长进行了充分沟通,建议孩子在门诊全麻下一次性完成所有口腔治疗,家长当即表示认可。
同时,得知佳佳一家从三亚专程赶来海口,往返路途不便,医院当天就为佳佳加急完善了全麻术前各项检查。第二天中午,吾尔肯主任特意在已安排的手术后加台,为佳佳实施了门诊全麻下口腔治疗。

▲吾尔肯(左一)为患儿实施门诊全麻下治牙
全身麻醉由医院舒适化治疗中心主任王世新实施,并全程监测患儿生命体征。术中,吾尔肯主任带领团队,按照患儿牙齿龋坏严重程度,对11颗患牙进行治疗:已感染到“牙神经”的牙齿进行了根管治疗;对牙神经部分受损的牙齿,采用“活髓切断术”,尽量保留健康的牙根和活髓,让牙齿能继续正常发育;深龋采取护髓垫底后补牙处理;不严重的蛀牙采取常规补牙。
同时,考虑到孩子多颗患牙缺损面积比较大,孩子离换牙时间较久,还对6颗患牙进行金属预成冠修复,以保护乳牙并且增加牙齿的硬度,恢复牙齿的外形和咀嚼功能,防止充填物的脱落、继发龋产生和牙体组织的折裂。保护患牙维持到被新生恒牙替换。
手术历时3小时,顺利完成。
术后,佳佳被送回了日间门诊病房观察,当天下午,排除无不良反应后,顺利出院。
临行前,佳佳的家长难掩激动之情。她主动提出要和医护人员一起拍一张大合影,并深情地说:“这张照片一是留作纪念,二是回去要给所有人展示——我们中国医生的效率和能力!”
拍照时,可爱的小佳佳高高举起医院为他颁发的“勇敢小战士”奖状,用带着口音的中文甜甜地喊了一声“茄只”,在场的医护人员都被他逗笑了。

▲佳佳一家与医护人员合影留念
海南天成口腔医院(海南口腔医院)儿童口腔专业学科成立于2013年,医院组建了儿牙专科医护团队,配备专职麻醉医师,常规开展笑氧镇静、口服镇静、门诊全麻等舒适化口腔治疗,帮助低龄、恐惧、配合度差或多颗牙需要治疗的孩子解决看牙难题。

目前,医院已累计完成笑氧镇静镇痛治疗超1.1万台次、门诊全麻综合牙病治疗近500台次。接诊的患儿不仅覆盖海南省内各市县,更吸引了来自新疆、湖北、山东、黑龙江、贵州等地的患儿,以及美国、澳大利亚、加拿大、新加坡、泰国等国家的孩子前来求医。此次跨越国界的就医案例,也折射出海南自贸港建设背景下,我院专科医疗服务水平的持续提升。


